Le kyste synovial est une tuméfaction souscutanée qui survient au niveau des articulations Il se présente sous la forme d'une boule renfermant un liquide visqueuxCes kystes salivaires ont tendance à disparaître de façon spontanée Si ce n'est pas le cas, et que son évolution va en grandissant au point de devenir une gêne pour votre enfant, le kyste peut être retiré par un dentiste ou un chirurgien pédiatrique, sans aucun problème, car il kyste cerveau bébé Bonjour Toute en espérons trouver un soulagement et explication Je compte sur votre sens d'écoute Enfaite ma femme âgé de 27 ans est enceinte 16eme semaine et l'hors de notre dernier échographie le docteur nous a informé que le bébé dispose de deux kystes au niveau du cerveau malgré que ça

Les Kystes Digestifs Du Nourrisson
Kyste bébé échographie
Kyste bébé échographie- Le kyste luimême, la poche, ne part pas mais le contenu se résorbe "On peut très bien opérer des enfants de 15 mois si la gêne est importante, si l'enfant en souffre La cicatrice sera très tonique car chez les enfants, les cicatrices Un kyste dermoïde est un sac fermé près de la surface de la peau qui se forme pendant le développement dans l'utérus d'un bébé Le kyste peut se former dans tout le corps Elle peut contenir des follicules pileux, des tissus de la peau et les glandes qui produisent l'huile de sueur et de la peau
.jpg)



Branchiale Kyste Fente Chez Les Adultes Supprimer Historique Android Google
Les kystes conjonctivaux ne causent pas toujours des symptômes, surtout lorsqu'ils sont très petits Au fur et à mesure qu'ils grandissent, une série de symptômes peuvent se manifester, notamment l'impression que quelque chose est coincé dans ton œilKyste bébé, Abidjan, Côte d'Ivoire 2,312 likes 1 talking about this la grâce de l enfantement Un kyste chez l'enfant sur la lèvre, sur les joues muqueuses internes, sur le palais est le lieu d'apparition le plus commun des mucocèles la muqueuse de rétention Aussi, le kyste dans le nez d'un enfant se réfère souvent à ce type de cavités pathologiques et est localisé dans les sinus paranasaux
Te voilà une liste d'opinions sur kyste dentaire bébé Toi aussi, tu as la possibilité d'exprimer ton opinion sur ce thème Tu peux également retrouver des opinions sur kyste dentaire bébé et découvrir ce que les autres pensent de kyste dentaire bébéCe type de kyste ne nécessite aucun traitement, car 90 pour cent se résoudra d'ellesmêmes d'ici la 28e semaine de gestation Même lorsqu'un enfant en bonne santé naît avec un kyste du plexus choroïde, il est probable que le bébé se développe normalementKyste bébé, Abidjan, Côte d'Ivoire 2,312 पसंद 2 इस बारे में बात कर रहे हैं la grâce de l enfantement
Le kyste pilonidal est nettement plus courant chez l'homme que chez la femme, mais il peut tout de même se manifester durant la grossesse dans certains cas Bénin, il ne nécessite un traitement que lorsqu'il devient vraiment gênantLe kyste du cholédoque peut se manifester chez le petit enfant par des crises douloureuses abdominales, ou une pancréatite (inflammation du pancréas), ou une jaunisse (ictère), ou encore par la découverte d'une masse au niveau du ventre à droite Les conséquences à très long terme peuvent être une cirrhose biliaire (rétrecissementMars 2, 21 by admin l'une des masses les plus courantes que je vois chez les nouveaux patients est ce qu'on appelle un kyste dermoïde Très souvent, ceuxci se trouvent près ou sous la partie externe du sourcil et se sentent comme une bosse caoutchouteuse en forme de pois sous la peau




Les Medecins Avaient Demande A Cette Mere D Avorter Car Le Bebe Venait D Un Mauvais Oeuf Et Aujourd Hui La Petite Fille Vient D Avoir 5 Ans Vonjour




Kyste Dermoide De La Partie De L œil Ophtalmologie
Soumis par Anonymous (non vérifié) le mar, 1412 Hello, Juste au cas ou quelqu'un aurait plus d'info ou une expérience à partager la dessus Suis à 32SA et le gynéco à déceler un kyste sur un des ovaires de ma puceMon bébé atil un kyste dermoïde? il ya de cela 1mois j'ai été victime de 2 kystes ovariens droite et j'ai eu un traitement naturelle et maintenant je souhaite avoir un bébéest il possible de vite concevoir?si oui y'aurai t'il des complications svp?




Epingle Sur Shabby Chic Weddings




Kystes Et Fistules Congenitaux De L Enfant Sciencedirect
Si le kyste dermoïde ovarien est détecté durant la grossesse, une surveillance sera nécessaire pour s'assurer qu'il ne gêne pas le développement du futur bébé ni l'accouchement A partir du deuxième trimestre de grossesse , l'ablation du kyste pourra toutefois être programmée par le médecin s'il juge l'intervention nécessaire Le kyste chez un nouveauné est une maladie pathologique assez fréquente chez les nourrissons En règle générale, il se dissout avant la naissance du bébé ou la première année de vie L'apparition de celuici peut être associée à des problèmes circulatoires ou laUn kyste sébacé est une poche remplie de sébum localisée au niveau de la peau Un kyste sébacé infecté nécessite une prise en charge médicale




Insolite Un Bebe Nait Avec Deux Bouches Une Malformation Rarissime Midilibre Fr



Makp Maladie Adenomatoide Kystique Pulmonaire Malformation Rare Du Poumon Regard De Bebe Plume
Marie, je m'inquiète depuis 3 jours, car à ma dernière échographie à 21 semaines, le radiologiste m'a dit qu'il avait vu 2 kystes au niveau du cerveau de mon bébé Je suis restée bouche bée et mon chum aussi mais rien de plus ne nous a été dit que "demander à votre médecin traitant pour la suite, ne vous inquiétez pas" Le kyste dermoïde est une maladie congénitale bénigne Cela veut dire que les enfants naissent en l'ayant déjà, même si, selon la taille, il est possible qu'on ne le détecte que quelques mois après, quand il aura suffisamment grandi Bébé atteint d'un kyste au palais Généralement asymptotique, on le diagnostique rarement grâce à la présence d'une tuméfaction de la partie antérieure du palais et le plus souvent à l'aide d'une radiographie du palais Pour soigner un kyste du palais,




Le Kyste Dermoide Chez Les Enfants Etre Parents



Mon Bebe A Un Kyste Pilonidal Bebes Et Mamans
Définition de Kyste synovial De abcès à zona, des centaines de définitions sur la santé du nourrisson, du bébé et de la grossesseVêtements enfant et bébé sur le thème De Kyste, personnalisés par des artistes Cadeaux originaux tshirts, masques, bodies et sweats à capuche Kyste de l'ovaire du bébé besoin de témoignages Je ne suis jamais intervenue sur ce forum parce que je n'ai pas encore la chance d'attendre un heureux évènement Mais je viens vers vous chercher un peu d'aide et des témoignages Depuis hier



1



Cours
Kyste bébé 21K likes la grâce de l enfantementLe kyste dermoïde résulte de l'inclusion aberrante d'éléments ectodermiques lors de la fermeture du tube neural entre la 3ème et la 5ème semaine du développement embryonnaire et représente 10% de toutes les masses extracrâniennes (3)Le kyste épidermoïde est une tumeur bénigne rare au niveau de la voûte et qui peut intéresser tous les os du crâne Tous les âges peuvent être concernés, voire




Kystes Et Fistules Congenitaux De L Enfant Sciencedirect



Mon Bebe A Un Kyste Sous La Langue Bebes Et Mamans
Kyste bébé, Abidjan, Côte d'Ivoire 2,311 likes 1 talking about this la grâce de l enfantement Même quand un enfant en bonne santé est né avec un kyste du plexus choroïde, le bébé va probablement se développer normalement Dans une étude qui a examiné près de 0 bébés nés avec les kystes, la grande majorité résolue de six mois, et aucun des bébés avaient un développement anormalKyste bébé, Abidjan 2311 vindikleuks 1 personen praten hierover la grâce de l enfantement



Kyste Bebe Home Facebook




Kystes Et Fistules Congenitaux De L Enfant Sciencedirect
Kyste bébé, Abidjan 2 304 mentions J'aime la grâce de l enfantementVoilà jaurais voulu savoir si une personne à réussi a avoir un enfant avec des kystes aux ovaires j'ai deux kystes a l'ovaire gauche de et42 mn Forums Bébé Béb Le kyste est sur l'ovaire et le bébé dans l'utérus mais qu'en est il de l'évolution du taux des bétaHCG qui devraient doubler toutes les 48 h Clique sur le lien en bleu pour en savoir plus




Pourquoi J Ai Mal Aux Poignets Mamanpourlavie Com




Un Nourrisson Opere D Un Kyste De 5 Kilos Sur La Joue El Watan
Bébé a un kyste ovarien! Ici, kyste dermoïde apparu sur le haut du front vers 6 mois On a aussi attendu ses 16 mois pour l'opération Tout s'est super bien passé edit d'abord un US puis un IRM car les kystes sur la tête et la ligne médiane peuvent être compliqués (une "racine" se dirige vers (ou dans) le cerveau) Le kyste a été analysé après ablationKyste bébé, Abidjan, Côte d'Ivoire २,३१२ जनाले मन पराउनुभयो १ जनाले यसको बारेमा कुरागर्दै छन् la grâce de l enfantement



Le Kyste Teratoide Lesion Linguale Rare



Kyste Bebe Home Facebook
Le kyste thyréoglosse peut être présent dès la naissance de l'enfant ou se déclarer un peu plus tard, généralement avant ses 2 ans une Les kystes ovariens organiques ne régressent pasIls sont en général enlevés afin d'éviter tout risque de complication (torsion de l'ovaire, hémorragie du kyste) Diagnostic du kyste de l'ovaire échographie et Doppler jouent la complémentarité L'échographie, qui permet de découvrir les kystes ovariens asymptomatiques, peut être réalisée par voie abdominale ou par voila hier visite chez gygy car j ai tout le temps mal au ventre et aux seins elle pensais a une endometriose mais voila j ai des kystes de




Kyste Du Cordon Spermatique Comment Traiter




Kystes Gingivaux Dans Les Nouveaux Nes
Kyste bébé, Abidjan, Côte d'Ivoire 2,240 likes la grâce de l enfantementKyste bébé, Abidjan, Côte d'Ivoire 2312 харесвания 1 говорят за това la grâce de l enfantementBonjour Docteur, j'ai fait aujourd'hui ma deuxième échographie tout va bien sauf que mon bébé a deux kystes au cerveau Le médecin m'a dit de ne pas m'inquiéter car normalement ils



1




La Bulle Bleue Ou Kyste D Eruption Lors Des Poussees Dentaires Des Enfants
Un kyste gingival peut se former sur le côté de la gencive de votre nouveauné, en général 1 à 2 semaines avant l'éruption d'une de ses dents Les kystes gingivaux peuvent effectivement apparaître lors de l'éruption dentaire du nourrisson, et ce, sur n'importe quelle dent




L Acne Du Nouveau Ne Et Du Nourrisson Que Faire Pediatre Online




Tumeurs Orbitaires De L Enfant Mon Oeil




Grains De Milium Chez Les Nouveau Nes Etre Parents



Une Histoire De Petite Bosse Je Suis Une Maman




Mon Bebe Pissenlit Un Kyste Dermoide




Kyste Sous Ependymaire Chez Un Nouveau Ne Avec Competence Sur La Sante Sur Ilive




51 Best Kyste Images Stock Photos Vectors Adobe Stock
.jpg)



Branchiale Kyste Fente Chez Les Adultes Supprimer Historique Android Google




Bebe Les Surprises De Votre Nouveau Ne Magicmaman Com




Le Developpement Des Dents De Votre Petit



Kyste Du Tractus Thyreoglosse Bebes Et Mamans




Quand Bebe Tombe Dans Le Bon 10 Pour Cent Actualites La Tribune Sherbrooke




Kyste A L Ovaire Pendant La Grossesse




La Poussee Dentaire




Kyste Symptomes Cause Et Comment Le Soigner




Fibrose Cystique Le Depistage Du Nouveau Ne Chez Le Pediatre Aspects Medicaux Bebe Swissmom Ch




Les Hernies Chez Le Bebe Guide Maman Bebe



Mon Bebe A Des Kystes Dans Un Rein Bebes Et Mamans




Hypoplasie De Poumon Management Et Pronostic




Mon Bebe Pissenlit Un Kyste Dermoide




Chalazion Bebe Et Enfant Est Ce Recidivant Quand S Inquieter




Une Malformation Congenitale Rare Le Cordon Ombilical Geant Sage Femme Pratique



Drainage Postural Pour Bebes De 0 A 12 Mois
;Composite=(type=URL,url=https://images.radio-canada.ca/v1/assets/elements/16x9/outdated-content-2015.png),gravity=SouthEast,placement=Over,location=(0,0),scale=1)



La Famille D Un Bebe Atteint D Une Malformation Rare Touchee Par La Generosite De Parfaits Inconnus Radio Canada Ca




Fistules Dermiques Dorso Nasales Neurochirurgie Pediatrique Lille



1



Article Medicale Tunisie Article Medicale




Le Kyste Dermoide Chez Les Enfants Etre Parents




Les Tumeurs De La Voute Cranienne Neurochirurgie Pediatrique Lille




Kyste Sebace Quand Faut Il L Enlever Femme Actuelle Le Mag




Retard A La Marche Qu Est Ce Que C Est Fiches Sante Et Conseils Medicaux




Mammite Du Nourrisson Au Secours Bebe A Des Seins Magicmaman Com



Kyste Bebe Home Facebook




Tete De Bebe Symptomes Traitement Definition Docteurclic Com




Kyste Gencive Bebe Informations Importantes Mamans Pratiques



Kyste Du Cordon Dans Un Des Testicules Bebes Et Mamans




Un Bebe Ne Avec Deux Bouches Deux Langues Et Une Duplication De La Mandibule Realites Biomedicales




L Incroyable Combat De Ce Petit Garcon Atteint D Un Kyste Gros Comme Une Pasteque



Que Sont Les Perles D Epstein Du Nouveau Ne Bebes Et Mamans




5 Astuces Pour Accompagner Les Douleurs De Poussee Dentaire De Bebe nove




Cerveau Foetal Kyste Bilateral Des Plexus Choroides 21 Sa




Dermato Info La Peau Du Nouveau Ne



Une Histoire De Petite Bosse Je Suis Une Maman



Doit On Operer Un Bebe Qui A Un Kyste Pres Du Testicule




Les Caracteristiques Des Nouveau Nes Naissance Doctissimo




Ne Vous En Faites Pas Ca Arrive Souvent Choupie Chat Papa Chat La Vie Et Moi




Mon Bebe Fait Ses Dents Comment Gerer La Situation Laboratoire Pediact




Depistage Neonatale De La Fibrose Kystique Oiiq




J Ai Une Grosseur Un Kyste Que Faire Planete Sante



1



Kystes Sous Cutanes A Quel Age Est Il Preferable D Operer




Dents De Bebe A Quel Age Bebe Fait Ses Dents




Premier Bebe Francais Ne Apres Une Autogreffe De Tissu Ovarien




Kystes Et Fistules Congenitaux De L Enfant Sciencedirect




Mon Bebe Pissenlit Un Kyste Dermoide




Kystes Et Fistules Congenitaux De L Enfant Sciencedirect




Un Nouveau Ne Avec Une Importante Grosseur Pleine De Kystes Sur Le Cou Peut Respirer Et Pleurer Malgre Le Pronostic Des Medecins Bebe Epoch Times




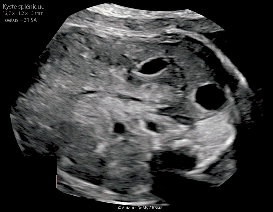
Rate Kyste Splenique Chez Un Foetus De 31 Sa Echographie




Ne Vous En Faites Pas Ca Arrive Souvent Choupie Chat Papa Chat La Vie Et Moi




Une Boule Sous La Peau Pas A Pas En Pediatrie




Vaccins Du Bebe Contre Indications Et Reactions Possibles Parents Fr




La Collection Sous Galeale Benigne Neurochirurgie Pediatrique Lille




Des Medecins Retirent Une Deuxieme Tete Du Crane D Un Bebe Dh Les Sports




Tout Savoir Sur Le Kyste Magicmaman Com




Ce Bebe Est Ne Avec Le Fœtus De Sa Sœur Jumelle Grandissant Dans Son Abdomen




Microcephalie Symptomes Et Causes




Milia Dans Les Bebes




Bebe D Amour Mon Bebe D Amour




Les Kystes Digestifs Du Nourrisson



Kyste Gingival Du Nouveau Ne Dermatologie Buccale




Furoncle Chez L Enfant Et Le Bebe Que Faire Parents Fr



Mon Bebe A Un Kyste Des Glandes Salivaires Bebes Et Mamans




Mon Bebe Pissenlit Un Kyste Dermoide




La Fibrose Kystique Depistee Des La Naissance Sante Actualites Le Droit Gatineau Ottawa




On A Demande A Cette Mere D Avorter Son Bebe Mais Elle Affirme Que Son Enfant Qui Est Ne Sans Yeux Est Magnifique Campagne Quebec Vie



Kyste Bebe Home Facebook




Kyste Dans Le Cou Chez L Enfant La Masse Cervicale




Gard Atteint D Un Kyste Au Cerveau Inoperable Ismail 7 Ans Combat Pour La Vie Midilibre Fr




Fibrose Kystique Physiotherapie Drainage Postural Pour Bebe On Vimeo



Jim Fr L Examen De La Bouche De L Enfant De 0 A 6 Ans Normalites Anomalies Recommandations Et Prevention



Kyste Bebe Nous Traitons Les Maladies Telles Que Les Facebook




Fibrose Kystique Mucoviscidose